5 yaşındaki çocuğun yuttuğu madeni para endoskopiyle çıkarıldı
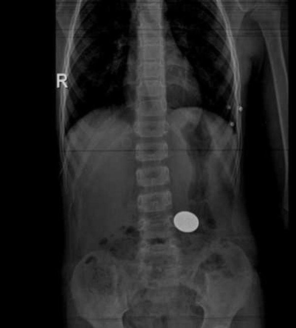
Denizli'de 5 yaşındaki çocuğun yuttuğu madeni para, endoskopiyle midesinden çıkarıldı.
Pamukkale Üniversitesinden (PAÜ) yapılan yazılı açıklamada, Çocuk Sağlığı ve Hastalıkları Anabilim Dalına gelen ve 50 kuruş yuttuğu belirtilen 5 yaşındaki Tayfun Demir'in, endoskopik müdahaleyle sağlığına kavuştuğu belirtildi.

Açıklamada görüşlerine yer verilen PAÜ Tıp Fakültesi Çocuk Gastroenterolojisi Bilim Dalı Başkanı Dr. Öğretim Üyesi Halil Kocamaz, ağza alınan yabancı cismin özellikle solunum yoluna kaçtığında hayatı tehdit edecek sorunlara yol açabildiğini belirtti.

Kocamaz, yutulan yabancı cismin sindirim kanalında tıkanıklık, delinme, ülser gibi önemli sorunlara neden olabileceğini anlatarak, şu ifadeleri kullandı:
"Yutulan yabancı cismin kesici, delici olup olmamasına, boyutuna ve özelliğine göre çocuğu değerlendirip yabancı cismin kendiliğinden sindirim kanalını terk etmesini bekleme ya da yabancı cismin bulunduğu yere göre ağızdan ya da makattan endoskopi aracılığıyla çıkarılma işlemi yolunu seçiyoruz. Son olarak bize başvuran minik hastamızın da midesindeki madeni parayı endoskopik olarak ağzından başarıyla çıkardık. Midede bulunan madeni para kesici ve delici olmadığı için nispeten düşük bir risk oluştursa da hastamıza endoskopik müdahale yaparak oluşabilecek problemleri önlemiş olduk."





Türkçe karakter kullanılmayan ve büyük harflerle yazılmış yorumlar onaylanmamaktadır.